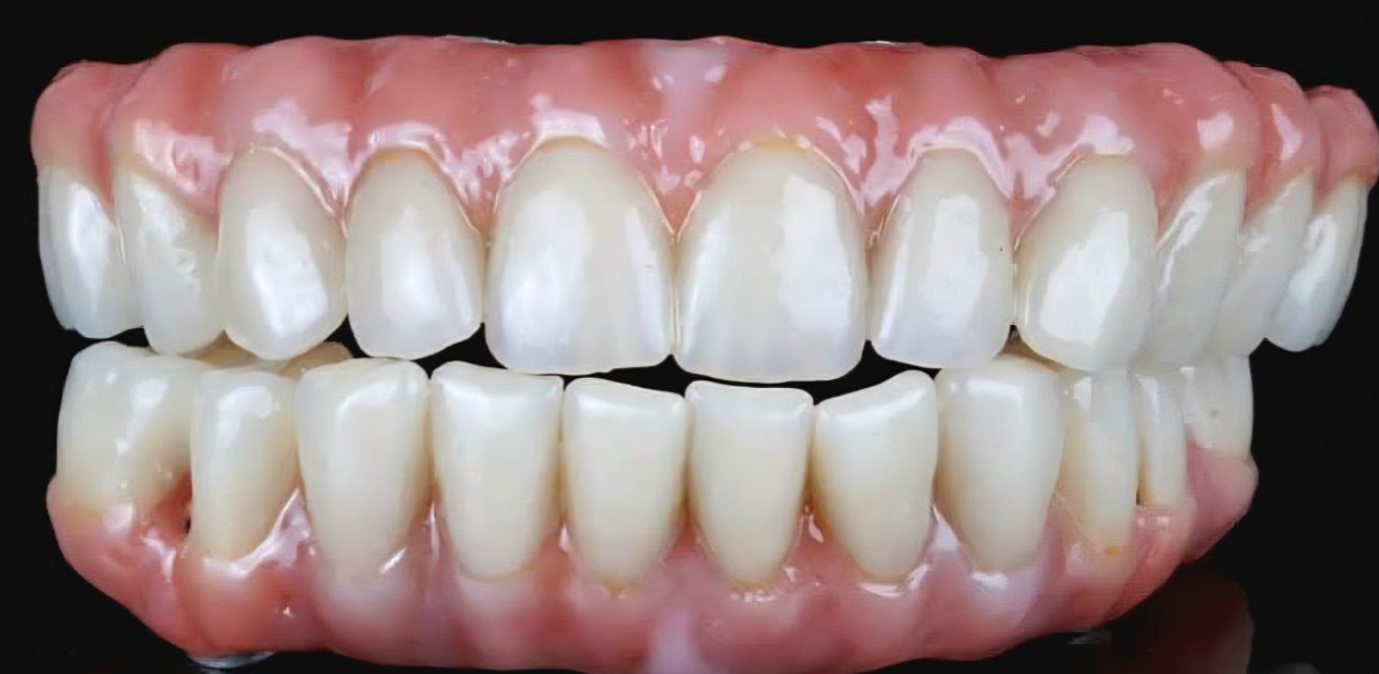
Нижняя челюсть каркас - БиоХПП (BioHPP)bredent, верхняя челюсть каркас Zr02. Индивидуализация - композит с циркониевым наполнителем Компофло ультра ЛЦ (Compoflo ultra LC) компании D-tech. Подготовка поверхностей праймеры Визио Линк (Visio Link) и МКЦ (MKZ) bredent.
Ваши вопросы или пожелания по контенту, направляйте на сайт



